综合整形
多角度美脸方案,塑造完美脸部线条!
手术效果)
方下巴、颧骨、颈部、额头等部位的整形和V型脸整相结合,改善脸部缺陷,重塑自信美丽。

脸部轮廓综合整形(各部位介绍) / 术后形象
 
综合整形)
四方脸 / V型脸 / 颧骨缩小术 / 额头 / 短下巴 + 眼 / 鼻 / 脂肪移植
和西方人相比,东方人从额头、眼睛、鼻子到下巴,整张脸都缺乏立体感。
眼部整形可以让眼睛更加神采奕奕,鼻部整形
可以提升脸部立体感。近期综合整形非常热门,综合整形包括眼部、
鼻部整形和贵族手术(去除额头、颈部皱纹,填充鼻唇沟)以及自体脂肪移植手术。
根据脸部特征提供全套美容方案,可以让额
头、颈部、面颊变得饱满的同时得到瘦脸效果,重塑年轻、优雅的女性风采。

从额头到下巴,柔和的S形曲线让脸部更加美丽动人。
 
Case1 下巴 / 眼睛 / 鼻子 / 额头 / 脂肪移植综合整形
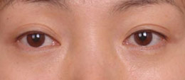
1.眼睛(眼形矫正术)
双眼皮不明显,上眼睑下垂,让人看起來无精打采、疲劳困乏。校正后双眼皮变得明显、眼睛明亮而动人。
 
2.鼻子(鹰钩鼻校正术)
鹰钩鼻给人厉害、俗气的印象。通过美容手术,切除鹰钩部分,让鼻子变得自然、挺拔、秀气的,塑造有立体感、美丽的脸部轮郎。
case1
case2
 
3.额头(假体隆额头)
额头扁平或凹陷,脸也会显得大而扁平。用假体适当填充额头,可以增加脸部立体感,让脸庞显小,更加端庄。
 
 
4.下巴(V型脸美容术校正方下巴)
下颌棱角分明,下巴圆短,会使女性魅力大打折扣,校正下巴,打造优雅的瓜子脸。

眼睛、鼻子、面颊、颈部、额头是决定脸部印象的重要部位,对相应部位进行整形手术,重新塑造动人的容颜
 








 
Case2 鼻子和短下巴综合整形